My Story of My Brain Surgery

Hellloo - I apologize if this post sounds a bit stoic. I am not sure how else to write it except for in a more matter of fact tone. I know there are countless people that have endured health scares and surgeries far worse than this and I am very conscious of that whenever I tell my store. Towards the bottom, I speak to you - whomever you are - that has or is going through something of your own. 

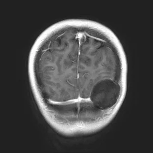
December 20, 2012. I don't think anyone in my life, except for me, remembers this actual date. It was the day I had brain surgery on a tumor that had taken residency in the back left corner of my brain. (Yes, that ball in the image is the tumor). I wake up each year on the anniversary thankful, reflective and a little sad, because I remember what I had to go through - the subconscious fear before the surgery, the pain after and really, the pain I still feel from it every day.

But more than anything, it puts things in perspective and reminds me of the true beauty of the human body. And I am not talking about appearance. I am talking about how with a handful of staples and some stitches, the skin on my head fused back together over time. And how my body has willingly accepted a piece of plastic to replace a large portion of my skull. And most importantly, how a very gifted neurosurgeon and his team so perfectly removed the tumor, replaced the piece of my skull and sewed me up so I could wake up, heal and thrive. That's what I think about.

Here are the events that led to the surgery. I hope this story gives you the courage to become the boss of your health and your life! 

For several years, I felt a bump on the back of my head and asked every doctor I went to or knew to feel it. They all said the same thing: lipoma (essentially just a fatty, benign tumor outside my skull) and that I didn't need to remove it, unless I really wanted to. Elective surgery: no thank you. 

Eventually, I started getting frequent headaches. Again, went to the doctor and said the bump was nothing, but I could take it out if I wanted to. I was told the headaches and the bump were unrelated. But, this bump was big and my headaches were bad, so I felt I needed to get this thing out of me. We scheduled surgery for November 20, 2012 so I could recover over Thanksgiving week in Dallas, where my family lives. It was supposed to be a simple, day surgery and I could fly back to New York by Sunday.

On Monday, November 19th, my {crazy, yet intuitive} Cuban grandmother insisted we get an MRI of my brain before the surgery. Even though the doctors insisted we didn't need it and insurance may not cover it, we proceeded and within a few hours, the doctor called to cancel the surgery and gave me the number of a neurosuregon.

The diagnosis was an epidermoid tumor that had gotten so big it had eaten through my skull (gross), but that is why you could feel it on the back of my head - there was no skull left to cover it. Panic set it and I started seeing neurosurgeons in Dallas and New York.  I ultimately decided that I would have surgery in Dallas and had a neurosurgeon in New York ready for me should I need anything in the long term. 

IMG_0163.JPG

After Thanksgiving, I went back to New York for about three weeks before going back to Dallas for the surgery. During those three weeks, fear showed up in the most healing way possible - I focused on caring for my body with the utmost respect. I ate a primarily macrobiotic diet, which is extremely calming, healing and nurturing. I worked out to release subconscious stress and I relaxed (looking back, not sure how, but I did). 

I also focused on post-operation healing. Because I was feeling so great eating macrobiotic, my extremely resourceful mom found a macrobiotic chef to cook for me while I healed. Her name was Christy Morgan (buy her cookbook here!). Having healthy, comforting foods ready at all times was truly a treat and I believe made my recovery so much faster  (the power of food....). 

The day of the surgery came and I was ready for it. I am not sure how or why, but I wasn't scared. I popped out of bed, put on Ellen sweatpants that my best friends had given me and I was ready to go. 

During pre-op at the hospital, I denied the nurse's offer for a sedative and instead went into the operation room completely conscious. I remember them putting me on the metal table and then I was out (thanks to the anesthesia). 

The recovering in the hospital was about six days - shorter than the 10 day stint the doctors predicted (I credit that to my macrobiotic diet). At home, it was all about comfort. Because of the location of the tumor and scar, it was almost impossible to lay down. It took lots of pillows, my all-time favorite wedge pillow and a neck pillow to get remotely comfortable, but that's okay. There were some very hard days and nights. I remember when walking down the hall of my parent's condo building was a challenge - that was all the strength I had. But slowly, I started to feel more and more normal. 

I was home for about 4-5 weeks recovering before I came back to New York to continue my recovery and get back to my normal life. There have been a few small bumps in the road and pain I still deal with, but hey,  I am thankful everyday for this journey. 

What doesn't kill you makes you stronger. 

If you are going through something similar (or any sort of health situation), I say this to you: I am sorry you have to go through anything but happy, healthy days. I know it sucks. It sucked for me. It sucked sitting at home for weeks while my friends to continued to live their lives. It sucks now that I have horrible pains in my neck and shoulder, that part of my head is kind of numb and that when I really think about the surgery, I cry for that young girl who had to go through all of this. But it is not permanent. Wherever you are, it is temporary. I hope you can just let yourself say, "this sucks right now" and sit in that for a moment. Then, put on that brave face, know it sucks, and push through. Because you can. Because someone else, one day (or even today) needs your strength to foster their own. But know its okay to say, it sucks. You are not the only one.